Bebeklerde Diş Kararması

Bebek Beşikleri

Bebeklerde Diş Kararması.

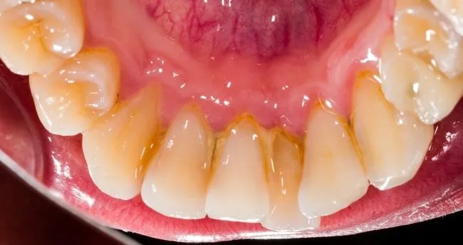
dis tasi neden olusur zararli mi dis tasi temizlenmezse dis kaybi olur saglik haberleri
dis tasi neden olusur zararli mi dis tasi temizlenmezse dis kaybi olur saglik haberleri

Yeni Doğan Bebeğin Doyduğunu Nasıl Anlarız Yeni Doğan Bebeğin Oda Sıcaklığı Kaç Derece Olmalı Yeni Doğan Erkek Bebek Isimleri Yeni Doğan Bebeğin Yüzünde Sivilce Neden Olur Yeni Doğan Bebeğe Şekerli Su Verilir Mi Yeni Doğan Bebeğe Babadan Mesaj Yeni Doğan Bebekte Akciğer Enfeksiyonu Yeni Doğan Bebeğe Bez Ve Mama Yardımı Yeni Doğan Bebeğe Pekmez Verilirmi Yeni Kız Bebek Isimleri Yeni Doğan Bebeğin Ailesine Ne Denir Yeni Doğan Bebeğe Ne Yapılır Yeni Doğan Bebekte Enfeksiyon Yeni Doğan Bebeğin Göbeğinden Kan Gelmesi Yeni Doğan Bebeğe Su Ne Zaman Verilir Yeni Doğan Bebeğe Dua